عفونت لگن و درمان آن

عفونت لگن زمانی اتفاق می افتد که میکروب ها وارد استخوان یا مفصل شده و تولید مثل کنند. ویروس ها، باکتری ها، قارچ ها و انگل ها همگی می توانند باعث عفونت شوند. پوست ما معمولاً دارای باکتری روی آن است. این میکروب ها هستند که اغلب باعث عفونت در استخوان ها و مفاصل می شوند.
عفونتهایی که میتوانند لگن را تحت تأثیر قرار دهند، عمدتاً یا عفونت استخوان («استئومیلیت») یا عفونت مفصل («آرتریت سپتیک») هستند. عفونت میتواند از استخوانهای لگن و مفصل ران منشاء بگیرد یا میتواند در جای دیگری از بدن – اغلب عفونتهای پوست و بافت نرم – ایجاد شود و متعاقباً روی لگن تأثیر بگذارد.

سه نوع اصلی عفونت که بر استخوان ها و مفاصل لگن تأثیر می گذارد عبارتند از:
استئومیلیت – این بر استخوان ها تأثیر می گذارد.
آرتریت سپتیک – این بر مفاصل تأثیر می گذارد.
عفونت مفصل مصنوعی – این بر اجزای سازنده («پروتزها») تعویض مفصل ران مصنوعی تأثیر می گذارد.
بیماری های عفونی در هر نقطه از بدن می تواند دردناک باشد. بیمارانی که از عفونتهای لگن رنج میبرند، اغلب تعجب میکنند که چقدر طول میکشد تا تحرک طبیعی برگردد و درد کاهش یابد. بنابراین چه مدت طول می کشد تا این نوع عفونت بهبود یابد و در وهله اول چگونه رخ می دهد؟
اگر عوارض سلامتی ناشی از عفونت باشد، بهبودی ممکن است بیشتر طول بکشد. ما در مورد جدی بودن عفونت و اینکه چرا می خواهید فوراً به دنبال درمان بیماری های عفونی باشید تا از مشکلات طولانی مدت لگن آلوده خود جلوگیری کنید، صحبت خواهیم کرد. بیایید در مورد بیماری های عفونی و اینکه چه زمانی سلامت شما به حالت عادی باز می گردد بیشتر بیاموزیم.
فهرست مطالب
عفونت لگن چقدر جدی است
این نوع عفونت می تواند جدی باشد. استخوان و غضروف داخل لگن ممکن است آسیب دائمی و دردناک بیشتری را متحمل شوند. شما باید فوراً به دنبال درمان باشید. شما و پزشکتان نمیخواهید درد و مشکلات حرکتی آینده ناشی از یک مفصل ران که عمیقاً تحت تأثیر عفونت قرار گرفته است، داشته باشید.
خوشبختانه، احتمالاً قبل از اینکه خیلی جدی شود متوجه این عفونت خواهید شد. در حالی که ممکن است گاه به گاه به طور منظم درد لگن را تجربه کنید، این درد نباید مداوم یا شامل التهاب باشد. قرمزی یا تورم نشانههایی هستند که نشان میدهند لگن شما ممکن است عفونی شده باشد و به مراقبت پزشکی نیاز دارد.توجه به عفونت لگن به افزایش شانس بهبودی سریع کمک می کند.
بهبودی لگن چقدر طول خواهد کشید؟
امیدواریم ظرف حدود 6 هفته یا کمتر به طور کامل بهبود پیدا کنید. پایان روند بهبودی منجر به ایجاد یک لگن بدون عفونت می شود که دامنه حرکتی کاملی دارد. به زودی دوباره برای پیاده روی طولانی آماده خواهید شد.ممکن است یک فرد جوان تر به شکل دیگری بهبود یابد و پس از دریافت درمان مناسب و سریع، ظرف 4 تا 5 روز از بیمارستان خارج شود.
در برخی موارد، عفونت شدید مفصل ران به زمان بیشتری نیاز دارد. 12 هفته جدول زمانی بالقوه برای عفونت کامل لگن که به سرعت توسعه یافته یا رشد زیادی داشته است را در نظر بگیرید.
مدت زمان بهبودی شما بستگی به این دارد که چقدر زود به پزشک مراجعه کنید. بهبودی عفونت عمیقتر زمان بیشتری میبرد. اگر فورا کمک دریافت کنید، ممکن است بتوانید از یک موضوع طولانی تر جلوگیری کنید.یکی از بخش های کمک گرفتن این است که بدانید چه موقعیت ها و مشکلاتی به احتمال زیاد منجر به عفونت لگن می شود.

چگونه عفونت ایجاد میشود
این عفونت ها به خصوص شایع نیستند. عفونت لگن معمولاً از گسترش کنترل نشده عفونت پوست یا عفونت مجاری ادراری ناشی می شود. هنگامی که برای هر بیماری عفونی که ناحیه لگن را تحت تاثیر قرار می دهد تحت درمان قرار می گیرید، به طور کلی بهترین شانس برای جلوگیری از عفونت را دارید. آنتی بیوتیک خود را تمام کنید و هر گونه تغییر را با پزشک خود در میان بگذارید. خون آلوده از این نوع بیماری ها می تواند به مفاصل شما راه پیدا کند.
تعویض مفصل ران یا جراحی اصلاحی هیپ نیز می تواند منجر به عفونت لگن شود. در حالی که بیمارستانها و پزشکان سعی میکنند اتاقها و ابزار جراحی را استریل نگه دارند، باکتریهای یواشکی به داخل زخمهای جراحی میلغزند. عفونت ها هم در بیمارستان و هم در خانه رخ می دهد. مراقب تغییرات زخم و برش ها باشید و در مسیر پیشگیری از عفونت خواهید بود.
علل عفونتهای لگن
عفونتهای لگن عمدتاً توسط میکروارگانیسمهایی مانند باکتریها (به عنوان مثال استافیلوکوکوس اورئوس – ‘استاف طلایی’)، ویروسها و قارچها ایجاد میشوند که وارد خون شده و به بافت استخوانی میروند. این می تواند در شرایط زیر رخ دهد:
ترومای استخوانی
جراحی استخوان (از جمله جراحی تعویض مفصل ران).
عفونت شکستگی استخوان
عفونت از جاهای دیگر بدن که در جریان خون یا خود خون منتقل می شود (مانند عفونت پوست، عفونت مجاری ادرار، سپتی سمی).
برخی از افراد بیشتر در معرض خطر ابتلا به عفونت لگن هستند، این موارد عبارتند از:
افراد مبتلا به شرایط مفصلی موجود مانند استئوآرتریت، آرتریت روماتوئید.
افراد مبتلا به سایر بیماری های مزمن، به عنوان مثال کم خونی داسی شکل یا سرطان.
افرادی که گردش خون ضعیفی دارند مانند افراد سیگاری، افراد مبتلا به فشار خون بالا یا دیابت.
افراد مبتلا به سیستم ایمنی سرکوب شده (داروهای آرتریت روماتوئید می توانند این تأثیر را داشته باشند).
افرادی که برخی از بیماری های پوستی دارند، به عنوان مثال پسوریازیس و اگزما.
افرادی که آسیب های پوستی در نزدیکی مفصل دارند، به عنوان مثال زخم های سوراخ شده (از جمله به دلیل تزریق مواد مخدر)، نیش حیوانات و/یا بریدگی و ساییدگی.
کودکان بسیار خردسال و افراد مسن نیز در معرض خطر ابتلا به آرتریت سپتیک هستند – تقریباً 45٪ از همه افراد مبتلا به آرتریت سپتیک بالای 65 سال دارند.
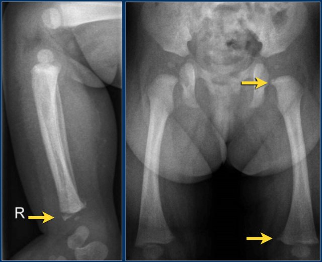
علائم اصلی عفونت لگن
علائم اصلی عفونت لگن درد در ناحیه لگن است که اغلب با موارد زیر همراه است:
تورم / قرمزی.
لطافت / گرما.
مشکل در حرکت مفصل.
تب (+38 درجه سانتیگراد).
عرق کردن / لرز.
احساس عمومی ناخوشی
در غیر این صورت کاهش وزن غیر قابل توجیه
اسپاسم عضلانی
آزمایشات / تشخیص
پس از معاینه فیزیکی و بررسی تاریخچه پزشکی، ممکن است تعدادی آزمایش برای تشخیص عفونت های مشکوک لگن مورد نیاز باشد. اینها ممکن است شامل موارد زیر باشد:
آزمایش خون (برای تشخیص هر گونه عفونت منتقله از خون).
اشعه ایکس.
سی تی اسکن.
اسکن امآرآی.
اسکن استخوان.
بیوپسی بافت از استخوان.
تجزیه و تحلیل مایع مفصلی (برای تشخیص عفونت در مایع سینوویال اطراف مفصل).

رفتار درمانی
بیشتر درمان شامل دوره ای از آنتی بیوتیک ها برای درمان عفونت است که معمولاً 4-6 هفته طول می کشد. در برخی موارد، مایع مفصلی عفونی ممکن است نیاز به تخلیه داشته باشد، و ممکن است جراحی برای تخلیه مناسب این مایع و شستشوی بافت استخوانی آسیبدیده لازم باشد (فرآیندی که به «دبریدمان» و/یا «لاواژ» گفته میشود). در موارد بسیار شدید ممکن است قطع عضو لازم باشد.
آرتریت سپتیک یک عفونت دردناک در مفصل است که می تواند از میکروب هایی باشد که از طریق جریان خون شما از قسمت دیگری از بدن شما عبور می کنند. آرتریت سپتیک همچنین می تواند زمانی رخ دهد که یک آسیب نافذ، مانند نیش حیوان یا ضربه، میکروب ها را مستقیماً به مفصل منتقل کند.
نوزادان و افراد مسن بیشتر در معرض ابتلا به آرتریت سپتیک هستند. افرادی که مفاصل مصنوعی دارند نیز در خطر ابتلا به آرتریت سپتیک هستند. زانوها بیشتر تحت تاثیر قرار می گیرند، اما آرتریت سپتیک همچنین می تواند لگن، شانه ها و سایر مفاصل را نیز درگیر کند. عفونت می تواند به سرعت و به شدت به غضروف و استخوان داخل مفصل آسیب برساند، بنابراین درمان سریع بسیار مهم است.
درمان شامل تخلیه مفصل با سوزن یا در حین جراحی است. آنتی بیوتیک نیز معمولا مورد نیاز است.
علائم آرتریت سپتیک
آرتریت سپتیک معمولا باعث ناراحتی شدید و مشکل در استفاده از مفصل آسیب دیده می شود. مفصل ممکن است متورم، قرمز و گرم باشد و ممکن است تب داشته باشید.
اگر آرتریت سپتیک در یک مفصل مصنوعی (عفونت مفصل مصنوعی) رخ دهد، علائم و نشانههایی مانند درد و تورم جزئی ممکن است ماهها یا سالها پس از تعویض زانو یا جراحی تعویض مفصل ران ایجاد شود. همچنین، شل شدن مفصل ممکن است اتفاق بیفتد که باعث درد در حین حرکت مفصل یا وزن دادن به مفصل می شود. به طور معمول، درد هنگام استراحت از بین می رود. در موارد شدید، مفصل ممکن است دچار دررفتگی شود.
عوامل خطر برای آرتریت سپتیک عبارتند از:
مشکلات مفصلی موجود بیماریها و شرایط مزمنی که مفاصل شما را تحت تأثیر قرار میدهند – مانند استئوآرتریت، نقرس، آرتریت روماتوئید یا لوپوس – میتوانند خطر ابتلا به آرتریت سپتیک را افزایش دهند، همانطور که جراحی قبلی مفصل و آسیب مفاصل ممکن است.
داشتن مفصل مصنوعی باکتری ها می توانند در طی جراحی تعویض مفصل وارد شوند یا اگر میکروب ها از ناحیه دیگری از بدن از طریق جریان خون به مفصل منتقل شوند، ممکن است یک مفصل مصنوعی عفونی شود.
مصرف دارو برای آرتریت روماتوئید. افراد مبتلا به آرتریت روماتوئید به دلیل داروهایی که مصرف میکنند که میتوانند سیستم ایمنی بدن را سرکوب کرده و احتمال بروز عفونتها را افزایش دهند، بیشتر در معرض خطر هستند. تشخیص آرتریت سپتیک در افراد مبتلا به آرتریت روماتوئید دشوار است زیرا بسیاری از علائم و نشانه ها مشابه هستند.
شکنندگی پوست. پوستی که به راحتی می شکند و به خوبی بهبود نمی یابد می تواند به باکتری ها اجازه دسترسی به بدن شما را بدهد. بیماریهای پوستی مانند پسوریازیس و اگزما خطر ابتلا به آرتریت سپتیک را افزایش میدهند، مانند زخمهای عفونی پوست. افرادی که به طور منظم مواد مخدر تزریق می کنند نیز در معرض خطر بیشتری برای عفونت در محل تزریق هستند.
سیستم ایمنی ضعیف. افرادی که سیستم ایمنی ضعیفی دارند بیشتر در معرض خطر ابتلا به آرتریت سپتیک هستند. این شامل افراد مبتلا به دیابت، مشکلات کلیوی و کبدی و کسانی که داروهایی مصرف می کنند که سیستم ایمنی آنها را سرکوب می کند، می شود.
تروما مفصل. نیش حیوانات، سوراخ شدن زخم یا بریدگی مفصل می تواند شما را در معرض خطر آرتریت سپتیک قرار دهد.داشتن ترکیبی از عوامل خطر شما را در معرض خطر بیشتری نسبت به داشتن یک عامل خطر قرار می دهد.

عفونت مفاصل چگونه تشخیص داده میشود
تشخیص عفونت مفاصل معمولاً از طریق ترکیبی از علائم بالینی، آزمایشات تصویری و آزمایشات جمع آوری نمونههای بیولوژیکی صورت میگیرد. علائم عفونت مفاصل شامل درد شدید، تورم، قرمزی، گرمایی و محدودیت در حرکت مفصل میباشد.
برای تشخیص دقیقتر، پزشک ممکن است از آزمونهای تصویری مانند اشعه ایکس، اسکن MRI یا سونوگرافی استفاده کند تا تغییرات و تورم در مفصل را مشاهده کند. همچنین، انجام آزمایشات خون و جمع آوری نمونههای مایع مفصل (مانند سوزنزنی مفصل) برای بررسی وجود باکتریها یا عوامل عفونی میتواند به تشخیص دقیق و درمان مناسب کمک کند.




